Cosmetic Procedures: Before & After Photos
Surgeries performed by plastic surgeon Dr. Lawrence Chang in Newark, DE.
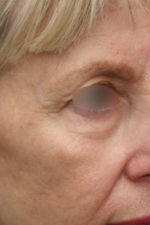
Patient 1
Using the Obagi Medical products this client was able to rejuvenate her skin on a cellular level giving her a healthy even skin tone.
Individual results may vary.
Click here to contact Dr. Lawrence D. Chang and set up a consultation.
Patient 2
Obagi medical grade products.
Individual results may vary.
Click here to contact Dr. Lawrence D. Chang and set up a consultation.
Patient 3
With continued use of Obagi Medical products skin is rejuvenated on a cellular level for clear, healthy glowing skin.
Individual results may vary.
Click here to contact Dr. Lawrence D. Chang and set up a consultation.
Patient 4
Client has been on the Obagi Skin Care System for 32 weeks. Her results are beautiful.
Individual results may vary.
Click here to contact Dr. Lawrence D. Chang and set up a consultation.
Patient 5
These are before and only 1 week after photos of our lovely patient that underwent the 2940 skin resurfacing procedure with our laser technician Joyce and Physician Assistant Danielle. What beautiful results! WIth this procedure you can take years off your face in just one day! Just one laser wrinkle treatment (2940) can diminish the […]
Individual results may vary.
Click here to contact Dr. Lawrence D. Chang and set up a consultation.
Patient 6
Immediately After 3rd treatment
Individual results may vary.
Click here to contact Dr. Lawrence D. Chang and set up a consultation.
Patient 7
After 1st treatment
Individual results may vary.
Click here to contact Dr. Lawrence D. Chang and set up a consultation.
Patient 8
After 4 treatments
Individual results may vary.
Click here to contact Dr. Lawrence D. Chang and set up a consultation.
Patient 9
Immediately After 4th treatment (15 wks after 1st treatment)
Individual results may vary.
Click here to contact Dr. Lawrence D. Chang and set up a consultation.
Patient 10
Immediately After 4th treatment (2 mos after 1st treatment)
Individual results may vary.
Click here to contact Dr. Lawrence D. Chang and set up a consultation.



























